手術治療について
はじめに
呼吸器外科では原発性肺癌、転移性肺腫瘍、縦隔腫瘍を中心とした胸部の悪性腫瘍と自然気胸、胸部外傷に対する外科治療を呼吸器外科専門医が中心となって提供しています。患者さんへ最良で安全な医療を提供できるように、日々心がけています。ここでは、当院で行っている手術治療について説明させていただきます。
原発性肺癌
肺がん患者さんは年々増加していて、厚生労働省の患者調査の結果は2011年がおよそ14万人から2017年には17万人に達し、顕著な増加を示しています。ここでは肺がんの診断・外科治療について示したいと思います。
左図のように、肺は左右に5つの袋からなり、これを肺葉と呼びます。右図に描かれている数字は大きさを相対評価しています。中葉が最も小さく、下葉が最も大きくなります。肺がんの多くは検診(健診)の胸部レントゲン検査で発見され、精密検査として胸部CT検査(右図)が行われます。CTでは左右が逆となって写りますので、白い影(腫瘍)は左肺に存在していることになります。ここで初めて、“肺がんの疑い”となります。

<がんの診断について>
CTで確認した腫瘍は肺がんだけでなく、炎症や良性疾患の可能性もあります。“がん“としての確定診断は、病理検査(がん細胞を顕微鏡で確認)のみで、他に方法はありません。そのために、腫瘍から細胞を採取しなくてはなりません。細胞採取にはいくつかの方法がありますが、当院では積極的に気管支鏡検査を行っています。腕の良い呼吸器内科医師が担当します。口から気管に内視鏡を挿入する非常に苦しい検査です。そのため当院では十分な麻酔を行い、知らないうちに検査が終了しています。安全のため、2泊3日の検査入院を行っています。気管支鏡の診断率は100%ではないため、診断に至らないときはCTガイドにした皮膚からの針生検や術中診断を行うこともあります。

<がんの進行度について>
早期の肺がんであれば症状はなく、進行するにつれて症状が現れます。肺がんは肺の根元、心臓周囲のリンパ節に転移して、そこから全身に広がります。この広がりを、胸部CT検査、PET検査、頭部MRI検査で同定し、IからIV期へ当てはめます。一般に肺・リンパ節以外への転移があればIV期となり、薬物治療となります。根治の可能性のある治療の手術や放射線はIIIA期までの場合に適応となります。手術と放射線治療の治療成績の比較では、手術の方が良好であったことからガイドライン(私たちの教科書)でも手術治療が推奨されています。

<肺がん手術治療>
肺がんに対する根治手術は、癌のある肺葉とその周囲のリンパ節を切除することが標準です。これを肺葉切除術、縦隔リンパ節郭清と呼びます。すべての患者さんに、標準手術を行うわけではありません。持病、肺機能、年齢などから総合的に判断して適切な術式を選択します。肺葉をより細かい単位での切除(区域切除)や、病変の部分のみの切除(部分切除)などを適応させています。
当科では開胸手術(12cmの皮膚切開)と胸腔鏡補助下手術(2-8cmの皮膚切開で胸腔鏡を使用しモニターを見ながら行う)を行っています。手術時間は2-3時間、術翌日から食事を開始していただきます。安静は術当日のみで、術後は十分な疼痛コントロールのもと積極的にリハビリを行っていただきます。

<術後リハビリ>
入院中だけでなく、退院後も継続して呼吸リハビリを行うことが重要です。切除した肺は再生しませんので、低下した肺機能をリハビリで回復させます。肺がん手術において、“がん”を治すことも重要ですが、日常生活の質を保つことも重要です。
呼吸は肺のみで行うわけではありません。横隔膜を意識した腹式呼吸や口すぼめ呼吸といった呼吸法の習得、また呼吸補助筋である腹部、胸部、背部、首、肩の筋力アップ、そして正しい姿勢をとることによって呼吸機能は大きく改善し、呼吸が楽になっていきます。当科では呼吸リハビリを専門とした訪問看護ステーションと連携して、訪問看護・在宅呼吸リハビリを積極的に導入しています。医療スタッフの派遣により、呼吸リハビリのみでなく術後早期の全身状態の評価も行い、患者さんからは安心の声を多くいただいています。異常な身体データがあればタイムリーに医師と連携するようになっています。肺切除術後の訪問看護・在宅呼吸リハビリによって、呼吸機能は改善し、退院後の在宅療養を安心して過ごしていただくことが可能になると考えています。
この介入による効果を下図に提示します(近畿大学医学部附属病院 呼吸器外科のデータ)。2017年4-11月より32名の肺切除後の患者さんに対して、退院後の訪問看護と呼吸リハビリの介入(退院後2週間まで連日、以後週1-2回)を行いました。SpO2(動脈血酸素飽和度)は最大100%で90%以下は低酸素状態、6分間歩行は6分間で歩行できた距離を示します。また、hospital anxiety & depression (HAD)スケールは不安と抑うつ状態の評価に用いられ、3段階(あり、疑い、なし)で評価できます。
安静時SpO2、6分間歩行距離は介入により、明らかに改善を認めました。また、17名のうち10名が不安状態、6名が抑うつ状態でしたが、介入により16名に改善を認めました。訪問看護・呼吸リハビリが肺切除後の患者さんに貢献していると考えています。
<早期肺がんに対しての“触らない”手術>
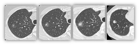
近年、検診CTの普及で早期肺がんが多く発見されるようになりました。図に肺がんの胸部CTを示しますが、淡い影(すりガラス)と濃い白い部分(中心部分)が混在しています。中心部分の割合が多いほど悪性度が高いことがわかっています。肺がんで重要なのはリンパ節転移の有無です。一般に、リンパ節転移がないのであれば、他の臓器に転移の可能性は非常に低くなります。このようながんを画像的非浸潤がんと命名しています。これまでの研究から、中心部分の割合が全体の25%までと定義されています。図では左の2つのCTまでが画像的非浸潤がんにあたります。画像的非浸潤がんの条件を満たした肺癌に対しては、基本的に部分切除を適応させています(中枢病変は例外)。当科ではさらに、リピオドールマーキングを併用した肺部分切除を行っています。
***リピオドールマーキング併用の胸腔鏡手術の実際***
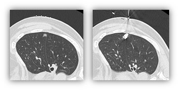
適応となる患者さんに対して、ヨード造影剤へのアレルギーがないことを確認します。手術当日、CT室へ移動してCTで確認しながら非常に細い針で微量の造影剤を腫瘍近傍に打ち込みます(下図1)。
次に、車いすで手術室に移動して手術を行います。手術中はレントゲンに写った造影剤をすべて切り取ることで腫瘍も一緒に切除されてきます(下図2)。そもそも、早期がんに対する部分切除を行うためには腫瘍の局在を確認する必要があります。これまでは直接触ることで腫瘍を確認していたため、傷が大きくなってしまいました。しかし、この方法では腫瘍を触る必要がありませんので、最小限の傷で手術を行うことができます。当科では2㎝の傷1つと5mmの傷2つを基本としています。

縦隔腫瘍
左右の肺に挟まれた部分を縦隔と呼びます。ここには心臓、食道などが存在しています。この部分に発生する縦隔腫瘍は良性から悪性まで様々です。これまでは、胸骨正中切開(胸の真中の胸骨の縦切開)を行って腫瘍切除を行っていました。現在は、5cm以下で周囲臓器への浸潤がない腫瘍や良性腫瘍、難病である重症筋無力症に対しては、胸骨を切開しない、より低侵襲な剣状突起下胸腔鏡手術(創部は心窩部と胸部の数か所)を行っています。整容性に優れ、疼痛や感染のリスクも低い方法です。
自然気胸
肺にできたブラと呼ばれる部分が破れて、空気がもれ、肺が押しつぶされることによって呼吸困難をきたす疾患です。若い男性に起こることが多いですが、肺気腫などに合併する気胸も多くあります。気胸は放置すると死に至る可能性がある疾患です。気胸と診断されると、脱気用のチューブを肋骨の間から挿入します。これによって、肺が拡張して呼吸困難が解消されます。
治療方法は3つあります。①自然治癒、②手術、③癒着療法です。最初に③の癒着療法を選択することはほとんどありません。通常は①の自然治癒を試みます。肺についた傷がいえるのを待ちます。その間は入院となり、治癒までの期間は不明です。空気漏れが止まらずに長期化が予想される場合や、再発の場合は②の手術を積極的に行っています。手術は胸腔鏡でブラを切除します(2㎝の傷1つと5mmの傷2つを基本)。手術時間は約1-2時間、術後数日で退院となり、早期社会復帰・通学が可能となっています。社会的事情で入院できない場合には(受験など)、チューブを挿入したまま外来通院治療が可能な特殊治療も対応しています。

胸膜炎・膿胸・肺膿瘍
肺は肋骨と筋肉によって作られる器の中に納まっています。その器を胸腔といい、器の表面を覆っている膜を胸膜といいます。肺の中が化膿することを肺膿瘍、肺の外側が化膿することを胸膜炎・膿胸といいます。人体における感染症の基本は適切な抗生剤治療と膿の排除です。胸膜炎・膿胸・肺膿瘍に対する膿の排除には、外科治療が非常に有効で、劇的な回復をもたらします。2㎝の傷3つでの胸腔鏡手術(2時間)で、胸に管が2-3本はいります。抗生剤治療とともに術後7日程度の強力なバキューム治療を24時間継続します。入院期間は術後10-14日間です。
おわりに
当院では地域の総合医療センターとして、院内の専門医だけでなく、開業医の先生方や他病院との連携を強固にすることにより、疾患の早期発見や早期治療に努め、迅速かつ質の高い医療を提供し、地域の皆様の健康に貢献できるよう努力を続けて参りたいと考えております。